ブログ

カテゴリー:
その他
-
2026年も、変わらず「予防で選ばれるクリニック」を目指します
その他こんにちは。院長の塚口です。暦の上では大寒となり、寒さの厳しい季節ですが、冬晴れの穏やかな日々が続いておりますね。少し遅くなりましたが、あらためまして新年のご挨拶を申し上げます。塚口歯科クリニックは2026年も、患者さん一人ひとりの健康を長...
-
原因はそこじゃない?「歯の痛み」の意外な落とし穴
その他あけましておめでとうございます。院長の塚口です。1月から、本格的な受験シーズンが始まりますね。 試験に臨む際は、焦らずにまず落ち着いて問題を読み解くことが大切です。 これは歯科でも同じで、痛い歯を...
-
2025年もありがとうございました
その他こんにちは。院長の塚口です。早いものでもうすぐ大晦日!2025年も終わりが近付いています。皆さまにとってどのような1年だったでしょうか。やり残したことをしっかりと整理して、新たな気持ちで2026年のスタートを切っていきましょう。さて、この時...
-
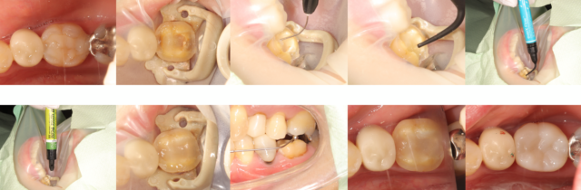
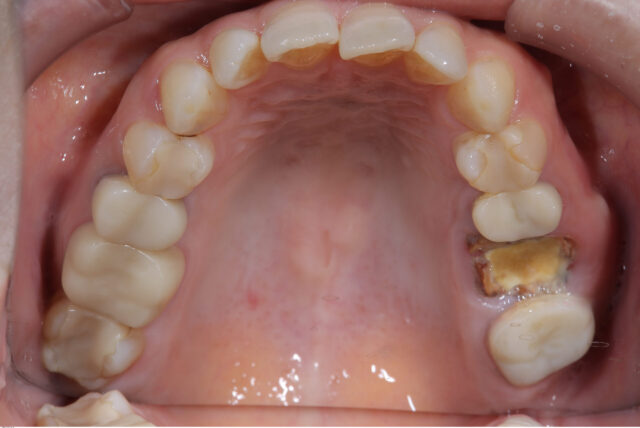
保険でできる白いつめもの「CR(コンポジットレジン)」とは?
その他こんにちは。院長の塚口です。12月は古くから「師走」と呼ばれますが、これはお坊さんが走り回るほど忙しくなることが由来のひとつとされています。 年末に向けて公私の予定も重なり、私たちも何かと慌ただしく感じる季...
-
12月休診日情報
その他