ブログ

抜歯と言われた歯を守る―精密治療の実例
こんにちは。院長の塚口です。
春のやわらかな陽気が心地よい季節となりましたね。
まもなく訪れるゴールデンウィークを存分に楽しむためにも、
新生活の慌ただしさが一段落する今の時期に、
気になるお口の症状を早めに解決しておきましょう。
今回は、「抜くしかない」と言われた歯を
天然歯のまま保存できた症例をご紹介します。
安易に抜歯を選択せず、
どうして私たちが天然歯に拘るのか――。
そのポイントとなるのは「歯根膜」の存在です。
歯根膜は歯と骨の間にある薄い組織で、
噛んだときの力をやわらかく受け止めるクッションの役割と、
微細な感覚を伝える重要な働きを担っています。
この組織はインプラントには存在ないため、
私たちは歯根膜を含めた天然歯は
かけがえのない患者さまの体の一部と考えており、
可能な限り残す選択を大切にしています。
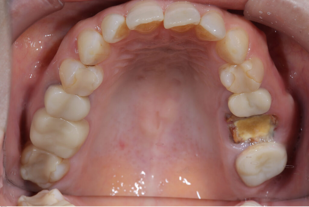
今回ご紹介させていただく症例の患者さまは
上顎の奥歯に痛みを感じ来院されました。
診査の結果、歯の大部分が崩壊し、
深い虫歯が歯ぐきの下まで進行している状態でした。

一見すると抜歯が妥当と考えられるケースでしたが、
歯根と周囲の骨の状態を精密に評価した結果、
保存可能と判断しました。

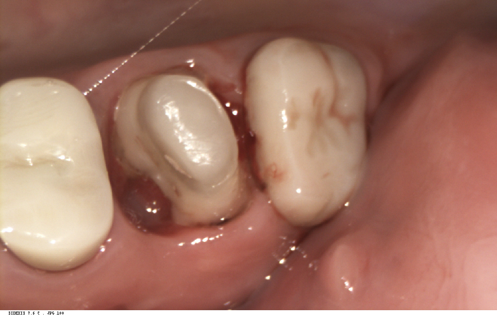
まず初診時に詳細な検査を行い、
その後マイクロスコープとラバーダム
(薄いゴムを用いて無菌状態で今回治療を行うための処置)
を使用した精密根管治療で
感染源を徹底的に除去しました。
続いてファイバーコア
(歯根の強度をあげるために土台としてしん棒をいれる処置)
による補強を行い、
歯の土台を整えたうえで、
最終的にセラミッククラウンを装着しました。

そしてこちらが、治療後の写真です。

見た目だけでなく、
しっかり噛める機能も回復しており、
患者さまにもとても喜んでいただきました。
現在の歯科医療はインプラントや矯正治療など多くの選択肢があり、
どれも優れた治療法です。
しかし当院では、その前提として「天然歯を守ること」が
最も重要であると考えています。
歯根膜というかけがえのない組織を残すことで、
長期的なお口の健康や噛む力の安定につながります。
そして何より、ご自身の歯で食事を楽しめることは、
人生の豊かさや幸福感に直結します。
これから先も美味しいものをしっかり味わい、
心身ともに健康で充実した日々を送っていただきたい――
その想いを胸に、
わたしたちは全力で日々の診療に取り組んでいます。
どんな状態でも、
まずは「残せる可能性」を一緒に考えていきましょう。
「抜歯しかないと言われた」
「治療が難しいと断られた」という方も、
ぜひ一度ご相談いただけたら幸いです。
医療法人誠煌会 塚口歯科クリニック
〒577-0823
大阪府東大阪市金岡1-14-5
TEL:06-6722-8111
URL:https://www.tsukaguchi-dc.com/
Googleマップ:https://maps.app.goo.gl/JvmG49z9C7q1f3NU9