ブログ

「できるだけ削らない」ことが、歯を長持ちさせる近道です
こんにちは。院長の塚口です。
もうすぐ3月、卒業のシーズンですね。
写真撮影の機会も多いこの季節、
きれいな歯を見せて笑えるよう、
定期検診を受けて、
お口の状態を万全にしておきましょう!
さて前回のブログでは、
当院が大切にしている
「できるだけ天然歯を長持ちさせること」
という考え方についてお話ししました。
今回は、その考え方が実際の診療の中で
どのように形になっているのか、
一例をご紹介します。
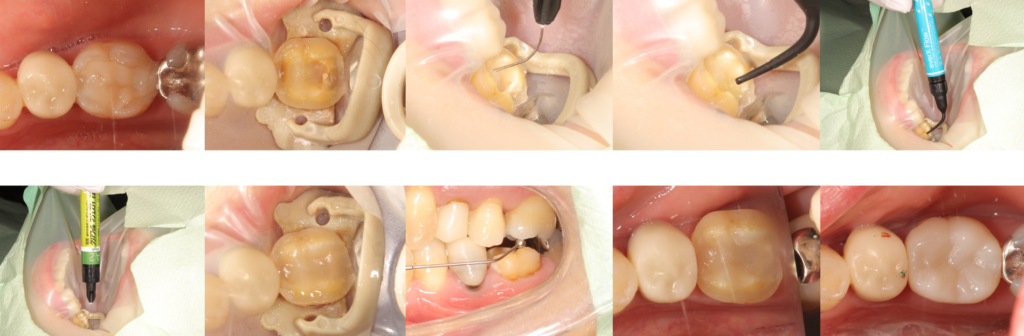
虫歯の治療というと、
「削って、詰めて、被せる」
というイメージをお持ちの方も多いかもしれません。
しかし歯は、一度削ると元には戻りません。
削る量が多くなるほど、
将来的に歯が割れたり、
再び治療が必要になるリスクも高くなります。
そのため当院では、
悪い部分だけを正確に見極め、必要以上に削らないこと
を何より大切にしています。
そのために活用しているのが、
マイクロスコープ(歯科用顕微鏡)です。
肉眼では確認しづらい部分まで拡大して確認することで、
健康な歯質をできるだけ残しながら、
虫歯の部分だけを丁寧に取り除くことが可能になります。

また、治療中は唾液や細菌が入り込まないよう、
ラバーダム防湿を行い、
治療環境そのものを整えることにも力を入れています。
こうした一つひとつの積み重ねが、
長期的に安定して使い続けられる治療につながると
私たちは考えています。
見た目を整えることだけが目的ではありません。
噛むこと、話すこと、食事を楽しむこと。
そうした日常の当たり前を、
できるだけ長く守ることが、私たちの目指す歯科医療です。
塚口歯科クリニックは、
これからも
「再治療の機会をできるだけ減らし、予防につなげる医療」
を大切にしながら、診療を行ってまいります。
塚口歯科クリニック
〒577-0823
大阪府東大阪市金岡1-14-5
TEL:06-6722-8111
URL:https://www.tsukaguchi-dc.com/
Googleマップ:https://maps.app.goo.gl/JvmG49z9C7q1f3NU9